当院の患者様は治療後も予防や健康的な歯を維持するためメインテナンスに通われています。
当院の予防歯科についてご覧くださいませ。
| 患者 | 50代女性 |
|---|---|
| 主訴 | 「鼻から膿が出るので耳鼻科に行ったところ、歯が原因かもしれないと言われたのでこちらを受診した」とご相談いただきました。 |
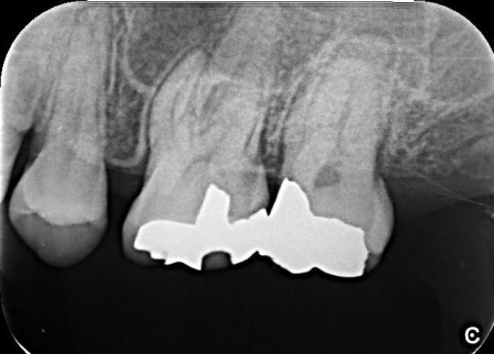
| 診断 | 口腔内を拝見し、レントゲンとCT撮影による詳しい検査を行った結果、左上奥歯の歯根内に細菌感染が起きており、炎症が歯根の先から鼻の横にある空洞「上顎洞(じょうがくどう)」にまで広がっていることがわかりました。
これは、歯性上顎洞炎(しせいじょうがくどうえん)と呼ばれる病気で、鼻づまりや鼻水、膿のにおいがするなどの症状があらわれることがあります。 また、このまま放置すると感染が周囲に広がり、炎症がさらに強くなったり歯を残すことが難しくなったりするリスクが高まります。 以上のことから、細菌に感染した部位を取り除き、歯の温存を目指す治療が必要だと診断しました。 |
| 行ったご提案・治療内容 | 歯性上顎洞炎を改善するためには、原因となっている歯根内部の細菌をできるだけ除去する必要があります。 また、患者様は「できるだけ歯を残して治したい」と希望されていたことから、精密根管治療を提案しました。 精密根管治療ではマイクロスコープ(歯科用高倍率顕微鏡)を使用し、肉眼では確認が難しい部分を拡大しながら治療を行います。これにより、複雑な根管内部や細かな感染部位まで確認できるため、より精密な処置が可能です。 一方で、根管の形態や感染の程度によっては治療が複数回に及ぶ場合があること、また根管治療を行っても上顎洞炎の改善がみられない場合には、外科的処置や抜歯を検討する必要があることもお伝えしています。 患者様には以上の内容をしっかりとご理解いただいたうえで、治療に同意いただきました。 まずは、左上奥歯に装着されていた既存の詰め物を取り外し、根管内部を確認します。 根管内部の洗浄と消毒が完了したら、根管の内部を密封する処置を行います。 最後にレントゲン撮影を行い、根管がしっかりと封鎖されていることを確認して、治療を終了しています。 |
| 治療期間 | 約5週間 |
| 費用 | 約120,000円 | 治療のリスク | ・まれに根管治療後も再治療、外科手術、抜歯などの処置が必要となる場合があります ・治療中まれに器具の破折、被せ物や詰め物など修復物の損傷、歯の破折が起こる場合があります ・治療中や治療後に不快症状が出たり、治療後に痛みや腫れなどが生じたりする可能性があります ・一部の治療を除き、自費診療(保険適用外)です |
治療前


治療中

治療後

