| 患者 | 70代男性 |
|---|---|
| 主訴 | 定期検診で通院中の患者様に「噛むと右上の犬歯に痛みがある」とご相談いただきました。 |
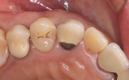
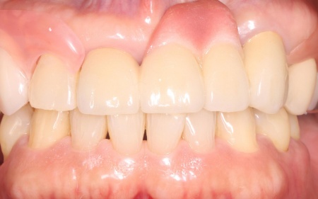
| 診断 | 拝見したところ、右上の犬歯には被せ物が装着されていました。 被せ物が装着されていると、レントゲン検査で歯の内部の状態を正確に確認することは困難です。 そこで、原因を詳しく調べるため被せ物を慎重に取り外し歯の内部を確認したところ、歯根が縦方向に割れる「歯根の垂直破折」が認められました。 また、このまま放置すると痛みや腫れが悪化し周囲の組織にも影響が及ぶ可能性があるため、抜歯が必要ですが、歯を抜いたままにすると隣の歯が動いて噛み合わせや歯並びに影響が出るおそれもあります。 以上のことから、抜歯したあとに歯を補う治療が必要と診断しました。 |
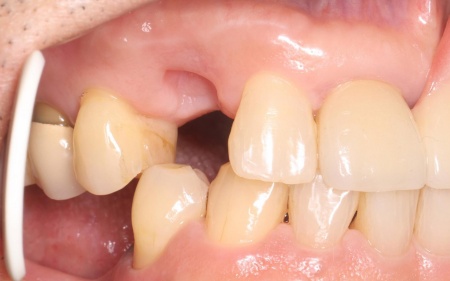
| 行ったご提案・治療内容 | 抜歯後に歯を補う方法には、欠損歯の両隣の歯を支えにして歯を補うブリッジ・インプラント・入れ歯の3つの治療法がありますが、患者様の場合、右上の犬歯の両隣の歯は治療されているためブリッジによる治療は困難です。 そこで、インプラントまたは入れ歯による治療を提案しました。 ・インプラント ・取り外し式の部分入れ歯 患者様は当初インプラントを希望されたものの、治療期間が長くなることから「まずは入れ歯で様子をみたい」とバルプラストによる治療を選択されました。 まず、感染の拡大を防ぐために右上犬歯の抜歯を行い、歯ぐきや骨が安定するまで一定期間経過を観察します。 |
| 治療期間 | 約5週間 |
| 費用 | 約150,000円 | 治療のリスク | ・持病をお持ちの方や、服用中のお薬の種類によっては、外科処置ができない場合があります ・外科処置後に腫れ、出血が生じる場合があります ・外科処置後に痛みが長引く場合があります。必要に応じ痛み止めを併用します ・着脱式のため、食後の清掃が必要です ・最初のうちは異物感があり、慣れるまで時間がかかる場合があります ・慣れるまでは、入れ歯の裏側の粘膜に傷ができる場合があります |
治療前




治療中



治療後


| 患者 | 60代女性 |
|---|---|
| 主訴 | 当院で左下の一番奥の歯にインプラント治療(歯を失った部分に人工歯根を埋め込み歯を補う治療)を行った患者様です。 インプラントの手前にある銀歯の見た目が気になるとのことで、「銀歯をやり直したい」とご相談いただきました。 |
| 診断 | 拝見したところ、インプラントの手前の歯には保険の金属製の被せ物(銀歯)が装着されていました。 しかし、被せ物と歯の間にわずかな隙間や段差が生じており、ぴったりと合っていない状態でした。 このような隙間には、食べかすなどの汚れや虫歯や歯周病の原因となる細菌の塊「プラーク」が蓄積しやすくなります。 レントゲンを撮り確認したところ、現時点では歯の神経や根の状態に異常は認められなかったものの、このまま放置すると、被せ物の隙間からプラークの蓄積が進み虫歯や歯周病になる恐れがあります。 以上のことから、患者様のご希望も踏まえ被せ物のやり直しが必要と診断しました。 |
| 行ったご提案・治療内容 | 患者様は「強度があって見た目もいいものがいい」と希望されており、被せ物にはセラミック素材の一種であるオールジルコニアクラウンを提案し、同意いただきました。
ジルコニアは天然歯に近い白さと自然な質感を再現できるうえ、強度が高いため奥歯のように噛む力がかかる部位にも適した素材です。 まず、既存の銀歯を丁寧に除去します。 なお、治療後に患者様より「もう1本手前の銀歯もやり直したい」とのご希望があり、後日こちらも被せ物をやり直す予定です。 |
| 治療期間 | 約2週間 |
| 費用 | 約130,000円 (補綴治療) |
治療のリスク | ・装着に際し、天然歯を削る場合があります ・硬い素材の場合、他の天然歯を傷つけることがあります ・噛み合わせや歯ぎしりが強い場合、セラミックが割れる可能性があります ・一部の治療を除き、自費診療(保険適用外治療)です |
治療前

治療中

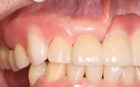
治療後

