| 患者 | 60代男性 |
|---|---|
| 主訴 | 定期健診で通院されていた患者様より「右下の歯ぐきが腫れてきた」とご相談いただきました。 |
| 診断 | 拝見したところ、右下の奥歯周辺の歯ぐきが腫れていました。
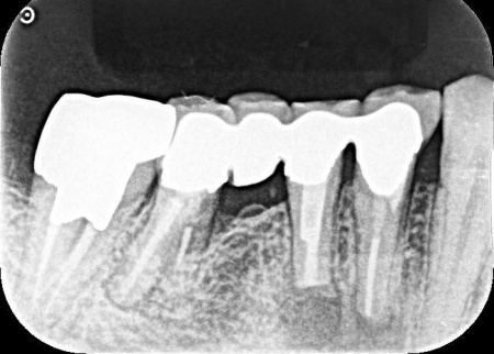
歯やあごの骨の状態を詳しく調べるためレントゲン検査を行った結果、右下の奥歯2本(第2小臼歯、第1大臼歯)は、歯根が縦方向に割れている可能性が高いと考えられました。 しかし、レントゲン画像だけでは歯根の状態を正確に判断することはできません。 歯根が割れている場合、細菌感染が進行して歯ぐきの炎症が広がったり周囲の歯やあごの骨にまで影響を及ぼしたりする可能性があります。 以上のことから、歯を温存することは難しいため抜歯が必要と診断しました。 |
| 行ったご提案・治療内容 | 診断結果を丁寧に説明したうえで、右下奥歯2本の抜歯を提案したところ同意いただきました。 併せて抜歯後に歯を補う方法として、以下2つの選択肢をお伝えしました。 ①前後の歯を削って橋のようにつなげた被せ物で歯を補うブリッジ治療 ②あごの骨に人工の歯根を埋め込み、その上に人工歯を取り付けるインプラント治療 それぞれの特徴や注意点について説明したところ、患者様は②のインプラント治療を希望されました。 まず右下奥歯2本の抜歯を行い、その後、約3ヶ月間歯ぐきや骨が十分に回復するのを待ちました。 |
| 治療期間 | 約6ヶ月 |
| 費用 | 約872,700円 | 治療のリスク | ・外科手術のため、術後に痛みや腫れ、違和感を伴います ・メンテナンスを怠ったり、喫煙したりすると、お口の中に大きな悪影響を及ぼし、インプラント周囲炎等にかかる可能性があります ・糖尿病、肝硬変、心臓病などの持病をお持ちの場合、インプラント治療ができない可能性があります ・高血圧、貧血・不整脈などの持病をお持ちの場合、インプラント治療後に治癒不全を招く可能性があります ・自費診療(保険適用外治療)です |
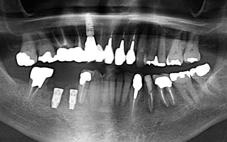
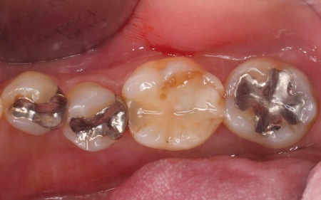
治療前






治療中








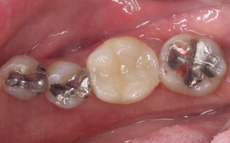
治療後




| 患者 | 40代女性 |
|---|---|
| 主訴 | 定期健診で来院された患者様より「歯茎が腫れて、奥歯が痛む」とご相談いただきました。 |
| 診断 | 拝見したところ、左下の一番奥の歯(第2大臼歯)の歯茎に腫れが認められました。 レントゲン撮影を行って詳しく調べたところ、歯根が縦方向に割れている「歯根破折」が疑われる状態です。 歯根破折は、過去に神経の治療を行った歯に起こりやすいトラブルで、今回のケースでは被せ物の下で破折が進行していたと考えられます。 このまま放置すると、痛みや腫れを繰り返すだけでなく、周囲の骨が溶けて隣接する歯にも悪影響を及ぼすおそれがあるため、抜歯の必要があると診断しました。 |
| 行ったご提案・治療内容 | まずは左下奥歯に装着されていた被せ物を慎重に除去し、歯根の状態を直接確認します。 その結果、歯根破折が明確に認められたため、歯の温存は困難であると判断しました。 抜歯後の治療として、以下2種類の方法を提案しました。 ①延長ブリッジ ②インプラント それぞれのメリットとデメリットを丁寧にお伝えしたところ、患者様は②のインプラント治療を選択されました。 まずは局所麻酔を行い、破折した歯を丁寧に抜きます。 抜歯後は骨の治癒を待つため、約3ヶ月間の経過観察を行いました。 経過観察後、骨の状態が安定したことを確認したら、インプラント体(人工歯根)を顎の骨に埋め込む手術を行います。 手術では、歯茎を切開した骨を露出させ、専用の器具で慎重に穴を形成したうえでインプラント体を埋入します。続いて歯茎を縫合し、インプラント体が骨と結合するまでの期間を設けました。 後日、インプラント体と骨がしっかりと結合したタイミングで、インプラント体の上に土台を装着し、人工の歯を取り付けます。 最後に、装着したインプラントの見た目や使用感、噛む機能の回復などを確認して、治療を終了しています。 |
| 治療期間 | 約5ヶ月 |
| 費用 | 約420,000円 | 治療のリスク | ・持病をお持ちの方や、服用中のお薬の種類によっては、外科処置ができない場合があります ・外科処置後に腫れ、出血が生じる場合があります ・外科処置後に痛みが長引く場合があります。必要に応じ痛み止めを併用します ・メンテナンスを怠ったり、喫煙したりすると、お口の中に大きな悪影響を及ぼし、インプラント周囲炎などにかかる可能性があります ・糖尿病、肝硬変、心臓病などの持病をお持ちの場合、インプラント治療ができない可能性があります ・高血圧、貧血・不整脈などの持病をお持ちの場合、インプラント治療後に治癒不全を招く可能性があります |
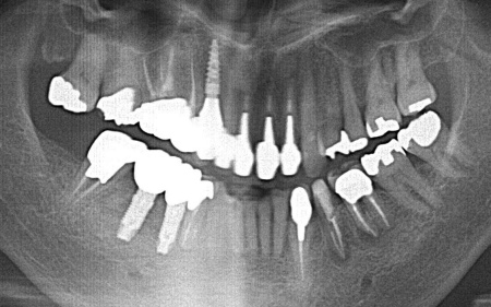
治療前

歯根破折が疑われました。


抜歯後の骨の状態を確認しています。

インプラントの埋入設計をしました。
治療中




インプラント体と骨の結合を確認しました。


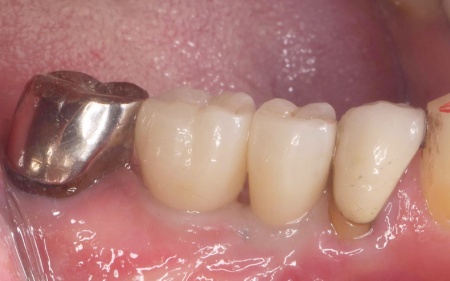
治療後


| 患者 | 40代女性 |
|---|---|
| 主訴 | 「歯と歯の間が欠けてしまったので診てほしい」とご相談いただきました。 |
| 診断 | 拝見したところ、左下奥歯にプラスチックの詰め物であるコンポジットレジンが詰められていましたが、隣り合う歯との間が欠けている状態でした。
このまま放置すると、欠けた隙間から細菌が入り込んで虫歯が再発するおそれがあります。 |
| 行ったご提案・治療内容 | 患者様は「審美性が高く、丈夫な素材で修復したい」と希望されています。 そこで、新しい詰め物の形状はより強度を高めるため、噛む力を覆うように広範囲を修復する「アンレー」を用いることを提案し、同意いただきました。 また、詰め物の素材には「セラミック」の一種である「E-MAX(イーマックス)」を採用しています。 E-MAXのメリット E-MAXのデメリット まずは古いコンポジットレジンを除去し、アンレーを装着するために歯の形を整えます。 その後、型取りを行い、仮詰めをして初回の治療を終了しています。 後日、完成したE-MAXアンレーを装着し、歯にぴったりと合っているか、噛み合わせに問題がないかを確認して、治療を終了しました。 |
| 治療期間 | 約2週間 |
| 費用 | 約110,000円 詰め物治療 |
治療のリスク | ・装着に際し、天然歯を削る場合があります ・硬い素材の場合、他の天然歯を傷つけることがあります ・噛み合わせや歯ぎしりが強い場合、セラミックが割れる可能性があります ・一部の治療を除き、自費診療(保険適用外治療)です |
治療前

治療中

治療後
