当院の患者様は治療後も予防や健康的な歯を維持するためメインテナンスに通われています。
当院の予防歯科についてご覧くださいませ。
| 患者 | 60代女性 |
|---|---|
| 主訴 | 長年、当院に通院されている患者様から「前歯をきれいに治したい」とご相談いただきました。 |
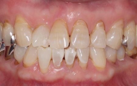
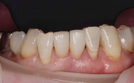
| 診断 | 拝見したところ、下中央の前歯2本に長年の使用による色の変化やすり減り、小さな欠けが見られました。
すり減った部分は表面がざらつきやすくそこに着色が付きやすくなるため、患者様の場合も削れている部分が茶色く変色していました。 現時点では痛みや噛みにくさといった機能的な問題はなかったものの、このまま放置するとさらに歯がすり減り、将来的に痛みが出たり噛み合わせに影響が出たりする可能性も考えられます。 |
| 行ったご提案・治療内容 | 前歯の見た目を整えるため、以下2つの治療方法をお伝えしました。
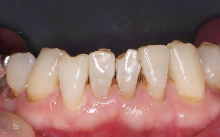
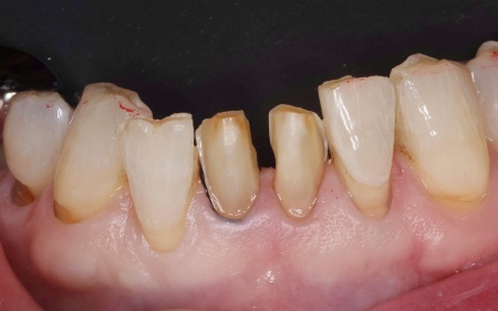
①歯全体を白い被せ物で覆う治療 ②歯の表面にセラミックの薄い板を貼り付けるラミネートベニア それぞれのメリット・デメリットを丁寧に説明したうえで、今回は歯を削る量をできるだけ抑えられる②のラミネートベニアを提案し、同意いただきました。 まずセラミックの薄い板を貼り付けるためのスペースを確保するため、前歯の表面をわずかに削る処置を行いました。 |
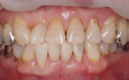
| 治療期間 | 約2週間 |
| 費用 | 約250,000円 | 治療のリスク | ・非常に薄いセラミックのため、強度は弱くなります ・中の歯の色の影響を受けやすいため、変色が強い歯には適さない場合があります ・ご使用状況により、割れたり欠けたりする場合があります ・自費診療(保険適用外治療)です |
治療前


治療中

治療後

