当院の患者様は治療後も予防や健康的な歯を維持するためメインテナンスに通われています。
当院の予防歯科についてご覧くださいませ。
| 患者 | 60代女性 |
|---|---|
| 主訴 | 「痛みはないが、歯が欠けた」とご相談いただきました。 |
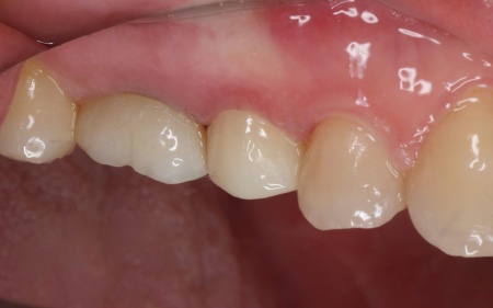
| 診断 | レントゲン撮影をして詳しく拝見したところ、右上奥歯の頭部分「歯冠」が縦に割れる「歯冠の垂直破折」が確認できました。 割れ目が深い場合は、歯の温存が困難です。 今回の症例では、症状や割れ方に応じて治療方針を慎重に判断する必要があると診断しました。 |
| 行ったご提案・治療内容 | 患者様は「できるだけ歯を残したい」と強く希望されたため、抜歯せず温存する方法として、以下3つの工程による治療計画を提案しました。
1:細菌感染した神経を取り除いてから薬を詰める「根管治療」 2:歯を長く使えるように土台をたてる「支台築造」 3:被せ物による「補綴修復」 以上のメリットとデメリットを丁寧にお伝えし、治療に同意いただきました。 まず、割れている部分をしっかりと確認し、必要な部分を除去してから根管治療を行います。 最後に、完成した被せ物を装着し、噛み合わせや見た目に問題がないことを確認して、治療を終了しています。 なお、患者様の下の歯の治療についてはこちら:https://dr-kaiya.com/blog/20260312-2/ |
| 治療期間 | 約5週間 |
| 費用 | 約227,000円 | 治療のリスク | ・装着に際し、天然歯を削る場合があります ・硬い素材の場合、他の天然歯を傷つけることがあります ・噛み合わせや歯ぎしりが強い場合、セラミックが割れる可能性があります ・一部の治療を除き、自費診療(保険適用外治療)です ・まれに根管治療後も再治療、外科手術、抜歯などの処置が必要となる場合があります ・治療中まれに器具の破折、被せ物や詰め物など修復物の損傷、歯の破折が起こる場合があります |
治療前

治療中


治療後

