当院の患者様は治療後も予防や健康的な歯を維持するためメインテナンスに通われています。
当院の予防歯科についてご覧くださいませ。
| 患者 | 40代女性 |
|---|---|
| 主訴 | 「少し前から体調が悪く、肌の調子も悪い。内科、循環器科、皮膚科に行ったが原因がわからず、こちらを受診した」とご相談いただきました。 |
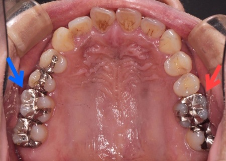
| 診断 | 患者様には、まず皮膚科での金属アレルギー検査をおすすめしたところ、歯科治療で使用していた金属がアレルギーの原因と判明しました。 患者様の口腔内には、金属素材で修復が行われている部位があり、これが体調不良につながっていたと考えられます。 以上のことから、口腔内の金属をすべて除去し、金属を使わない材料で修復する必要があると診断しました。 |
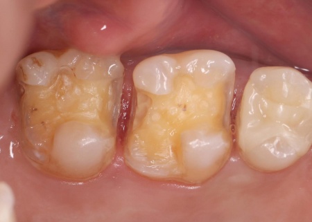
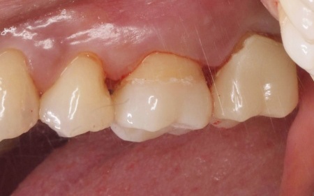
| 行ったご提案・治療内容 | 患者様は噛む力が非常に強く、その影響でエナメル質が割れてしまっています。 そこで詰め物の素材には、自費診療の白い素材「セラミック」の中でも、人工ダイヤモンドと呼ばれるほど強度があり、審美性にも優れている「ジルコニア」を選択しました。 すべての詰め物にジルコニアを用いるのが理想でしたが、ジルコニアは費用が高額です。 詰め物の形状には、歯の溝や一部を補う小さな詰め物「インレー」と、歯の噛む面を広範囲で覆う「アンレー」があります。 まずはメタルインレーをすべて外し、詰め物を装着するために歯の形を整え、型取りを行います。 |
| 治療期間 | 約4週間 |
| 費用 | 約 462,000円 (詰め物治療) |
治療のリスク | ・装着に際し、天然歯を削る場合があります ・硬い素材の場合、他の天然歯を傷つけることがあります ・噛み合わせや歯ぎしりが強い場合、セラミックが割れる可能性があります ・一部の治療を除き、自費診療(保険適用外治療)です |
治療前

治療中

治療後


