当院の患者様は治療後も予防や健康的な歯を維持するためメインテナンスに通われています。
当院の予防歯科についてご覧くださいませ。
| 患者 | 60代女性 |
|---|---|
| 主訴 | 「噛むと痛みがあり、違和感もある」とご相談いただきました。 |
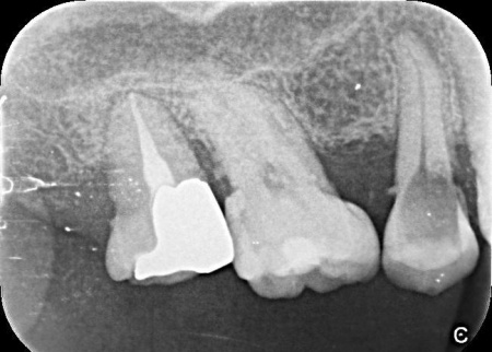
| 診断 | 拝見したところ、右上の歯に深い虫歯が見つかりました。
レントゲン撮影で詳しく検査した結果、虫歯が神経まで進行しており、歯根の先に黒い影が確認できます。 このまま放置すると、炎症が広がって歯を支える骨が溶けるおそれがあるため、早急に治療をする必要があると診断しました。 |
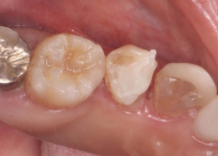
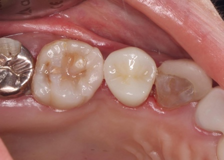
| 行ったご提案・治療内容 | 患者様は、歯をできるだけ残したいと希望されています。 そのため、感染した神経を取り除いて歯根内部を清掃・消毒する「根管治療」を行い、歯全体を覆う被せ物を装着する方法を提案し、同意いただきました。 メリット デメリット まず、根管治療で神経を慎重に取り除き、根管内の清掃と消毒を行います。 次に、歯を保護するための被せ物「ジルコニアクラウン」を装着します。 最後に、痛みや違和感がないか、問題なく噛むことができるかを確認し、治療を終了しています。 |
| 治療期間 | 約1ヶ月 |
| 費用 | 約260,000円 (根管治療、ジルコニアクラウン) |
治療のリスク | ・まれに根管治療後も再治療、外科手術、抜歯などの処置が必要となる場合があります ・治療中まれに器具の破折、被せ物や詰め物など修復物の損傷、歯の破折が起こる場合があります ・治療中や治療後に不快症状が出たり、治療後に痛みや腫れなどが生じたりする可能性があります ・硬い素材の場合、他の天然歯を傷つけることがあります |
治療前

治療中



治療後
