当院の患者様は治療後も予防や健康的な歯を維持するためメインテナンスに通われています。
当院の予防歯科についてご覧くださいませ。
| 患者 | 70代女性 |
|---|---|
| 主訴 | 「前歯の見た目が気になるので、きれいに治したい」とご相談いただきました。 |
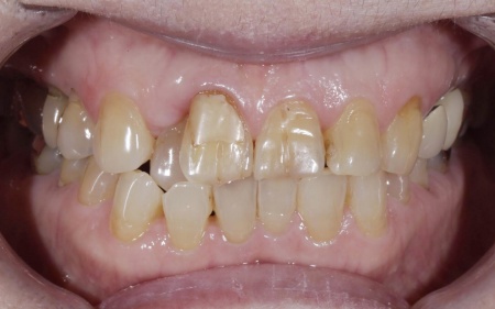
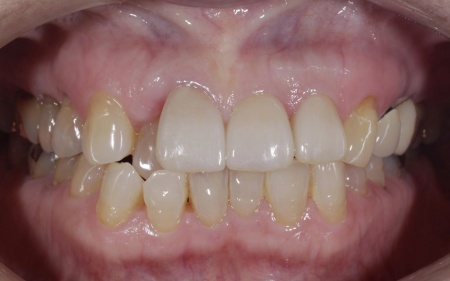
| 診断 | 拝見したところ、上前歯には保険診療の白いプラスチック素材「コンポジットレジン」を用いた詰め物の治療がされていましたが、経年劣化により一部が変色し、歯との間に隙間が生じている状態です。
このまま放置すると、隙間から汚れが入って虫歯を発症するリスクが高まるため、詰め物を作り直す必要があると診断しました。 |
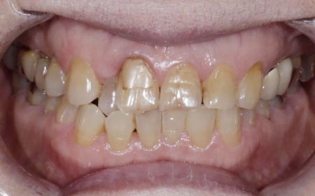
| 行ったご提案・治療内容 | 患者様は長年当院に通院されており、詰め物が外れたり割れたりするたびに、一部を修復する処置である「補修」を受けていました。
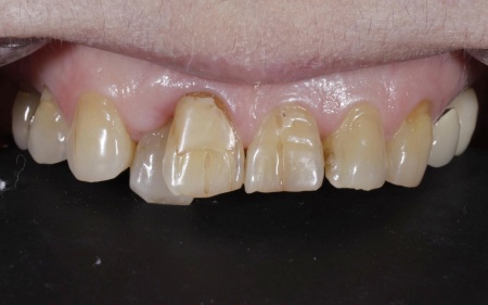
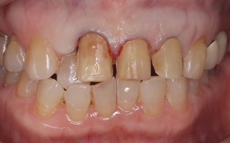
しかし、今回は根本的に前歯の審美性を改善したいと希望されたため、セラミックの薄い板を貼り付ける「ラミネートベニア」による修復を提案し、同意いただきました。 メリット:歯を削る量が少なく、短期間で治療が終わる まずは、前歯に装着されていたコンポジットレジンを外します。 最後に、見た目や使用感に問題がないことをしっかりと確認して、治療を終了しています。 |
| 治療期間 | 約4週間 |
| 費用 | 約330,000円 | 治療のリスク | ・非常に薄いセラミックのため、強度は弱くなります ・中の歯の色の影響を受けやすいため、変色が強い歯には適さない場合があります ・ご使用状況により、割れたり欠けたりする場合があります ・自費診療(保険適用外治療)です |
治療前



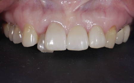
治療中

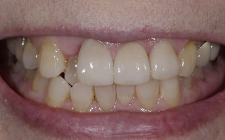
治療後


