当院の患者様は治療後も予防や健康的な歯を維持するためメインテナンスに通われています。
当院の予防歯科についてご覧くださいませ。
| 患者 | 30代女性 |
|---|---|
| 主訴 | 「歯が取れてしまった。また、下の歯は噛むと痛みがある」と、定期健診で通院中の患者様よりご相談いただきました。 |
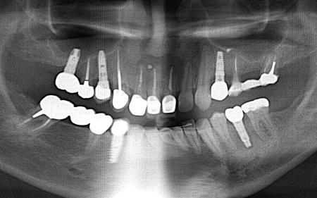
| 診断 | 拝見したところ、左上奥歯(第1小臼歯)は歯の上の部分である歯冠が折れ、歯根のみ残っている状態でした。 また、左下奥歯(第2小臼歯)には被せ物が装着されています。 レントゲン撮影をして痛みの原因を詳しく検査したところ、左上下奥歯の歯根が割れており、その影響で痛みが出ていると考えられました。 歯根が割れた歯は温存が難しく、このまま放置すると炎症が広がって周囲の歯に悪影響を及ぼすおそれがあるため、抜歯せざるを得ない場合があります。 以上のことから、温存が難しいと判明している左上奥歯は抜き、左下奥歯は被せ物を取り外して内部を確認したうえで、適切な処置を行うことが望ましいと診断しました。 |
| 行ったご提案・治療内容 | 診断結果をお伝えし、患者様の了承を得たうえで左下奥歯の被せ物を外したところ、レントゲン検査での診断どおり、歯根が割れていることが確認できました。 そのため、患者様には左上下奥歯とも温存が難しい旨を説明し、抜歯に同意いただきました。 患者様は、以前当院で人工歯根を顎の骨に埋入して歯を装着するインプラント治療を受けていたため、今回も左上下奥歯ともインプラント治療を希望されています。 メリット デメリット 改めてメリットとデメリットをしっかりお伝えしたところ、インプラント治療に対する不安はないとのことで、治療に同意いただきました。 まず、左上下奥歯を慎重に抜きます。 インプラント手術後は経過観察を行い、インプラントが顎の骨に結合したことを確認したら、インプラント上部に取り付ける人工歯を作製するために精密な型取りを実施します。 後日、完成した人工歯をインプラントに装着し、使用感や見た目に問題がないことを確認して、治療を終了しました。 |
| 治療期間 | 約4ヶ月 |
| 費用 | 約840,000円 | 治療のリスク | ・外科手術のため、術後に痛みや腫れ、違和感を伴います ・メンテナンスを怠ったり、喫煙したりすると、お口の中に大きな悪影響を及ぼし、インプラント周囲炎等にかかる可能性があります ・糖尿病、肝硬変、心臓病などの持病をお持ちの場合、インプラント治療ができない可能性があります ・高血圧、貧血・不整脈などの持病をお持ちの場合、インプラント治療後に治癒不全を招く可能性があります ・装着に際し、天然歯を削る場合があります ・硬い素材の場合、他の天然歯を傷つけることがあります |
治療前





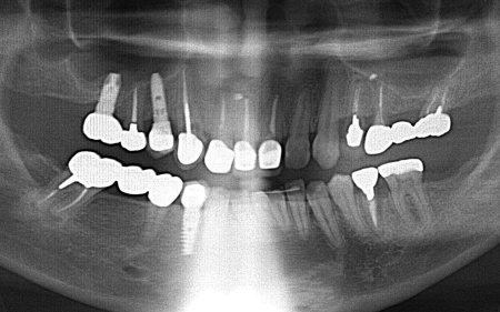
治療中







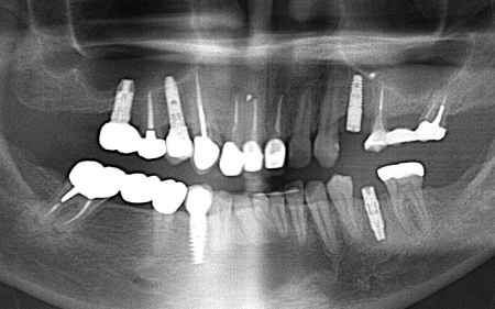
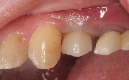
治療後




