当院の患者様は治療後も予防や健康的な歯を維持するためメインテナンスに通われています。
当院の予防歯科についてご覧くださいませ。
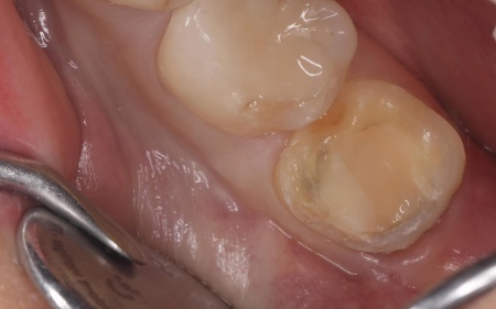
| 患者 | 40代女性 |
|---|---|
| 主訴 | 「歯間部分が欠けてしまった」とご相談いただきました。 |
| 診断 | 拝見したところ、左下の一番奥の歯には歯の一部を覆う白い詰め物であるセラミックインレーが装着されていましたが、日常的に力が加わったことで、右上奥歯と接触する部分のセラミックが欠けていました。
このまま放置すると、欠けた部分から細菌が侵入して虫歯の原因になったり、さらに大きな破折につながったりするリスクがあります。 |
| 行ったご提案・治療内容 | 患者様は審美性と長期間使用できる耐久性を重視されていたため、従来の小さなインレータイプではなく、より広い範囲で歯の噛む面全体を覆うオンレータイプでの修復治療を提案しました。
メリット:被せ物の面積が広く、噛む力によって生じる負担を分散できるため、欠けや破折を予防できる メリットとデメリットを丁寧にお伝えしたところ、オンレータイプの被せ物による治療に同意いただきました。 まず、破折した既存のセラミックインレーを慎重に除去します。 オンレーに用いる素材は、強度と自然な見た目を兼ね備えたE-MAX(イーマックス)を選択しました。 後日、完成したオンレーを装着して噛み合わせを丁寧に整え、見た目や使用感に問題がないことを確認し、治療を終了しました。 |
| 治療期間 | 約2週間 |
| 費用 | 約110,000円 | 治療のリスク | ・装着に際し、天然歯を削る場合があります ・硬い素材の場合、他の天然歯を傷つけることがあります ・噛み合わせや歯ぎしりが強い場合、セラミックが割れる可能性があります ・一部の治療を除き、自費診療(保険適用外治療)です |
治療前

治療中

治療後
