当院の患者様は治療後も予防や健康的な歯を維持するためメインテナンスに通われています。
当院の予防歯科についてご覧くださいませ。
| 患者 | 60代男性 |
|---|---|
| 主訴 | 「被せ物の根元が黒くなっているのが気になる」とご相談いただきました。 |
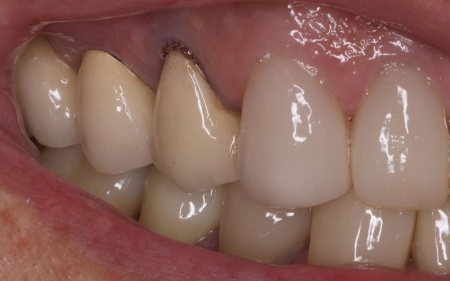
| 診断 | 拝見したところ、右上4番目の歯には白い被せ物が入っていましたが、加齢により歯ぐきが下がったことで被せ物が合わなくなり、土台が見えて黒くなっていました。
この歯は笑ったときに見えやすい部分のため審美性に影響が出ており、さらにこのまま放置すると隙間から細菌が入り込んで虫歯が再発するリスクもあります。 以上のことから、被せ物を取り外し新しい被せ物に交換する必要があると診断しました。 |
| 行ったご提案・治療内容 | 診断結果を丁寧に説明したうえで、古い被せ物を外し歯に合った新しい被せ物を作製する治療を提案し、同意いただきました。
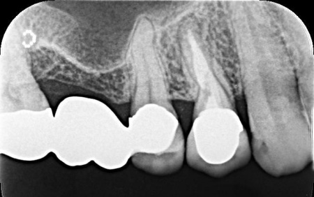
この歯は過去の治療で被せ物を装着する際に歯の神経を取る根管治療を行っていました。 患者様は「見た目がきれいで長持ちする被せ物がいい」と希望され、被せ物の種類は自由診療のセラミックであるジルコニアクラウンを選択しています。 ジルコニアクラウンのメリット・デメリット まず古い被せ物を除去して土台の形を整え、精密な型取りを行いました。 |
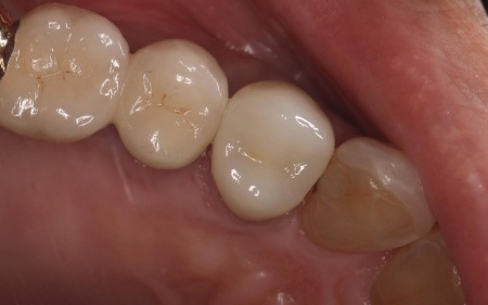
| 治療期間 | 約2週間 |
| 費用 | ジルコニアクラウン 約130,000円 |
治療のリスク | ・装着に際し、天然歯を削る必要があります ・硬い素材の場合、他の天然歯を傷つけることがあります ・噛み合わせや歯ぎしりが強い場合、被せ物が割れる可能性があります ・一部の治療を除き、自費診療(保険適用外治療)です |
治療前


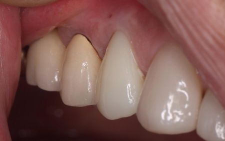
治療中

治療後

