当院の患者様は治療後も予防や健康的な歯を維持するためメインテナンスに通われています。
当院の予防歯科についてご覧くださいませ。
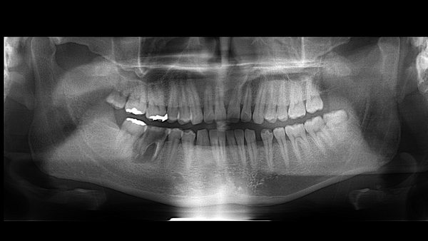
| 患者 | 30代男性 |
|---|---|
| 主訴 | 「歯が腫れてなかなか痛みが引かない、物が噛めない」という状態でした。 歯の揺れ、痛みが引かないので知り合いに紹介されて来院されました。 |
| 診断 | 歯根破折の長期放置による慢性歯根膜炎であり、この状態が長かったため周りの骨が喪失していました。 |
| 治療内容 | 何軒かの歯科医院で抜歯後インプラントを勧められたとのことで、納得しているのでその方法を当院でお願いしたいと言われました。 しかし、この骨の喪失状況は尋常ではなく、抜歯後の硬組織、軟組織の喪失量はかなりのものと考えられ、それを補いかつインプラントを埋入する難しさを説明しました。 幸い患者の年齢が若く、適した親知らずが残っていることを説明し、歯牙移植の提案をしました。 患者様にはこの提案を喜んでいただき、受け入れられました。 私が歯牙移植を提案した理由は以下の3つです。 この3に期待したのが一番の理由でした。 |
| 治療期間 | 6ヶ月(経過観察中) |
| 費用 | 100,000円(税抜) |
| 治療後の経過 | 現在予後は良好 |
| 治療のリスク | 長期にわたり徐々に歯が外部吸収することがあります。 |




