当院の患者様は治療後も予防や健康的な歯を維持するためメインテナンスに通われています。
当院の予防歯科についてご覧くださいませ。
| 患者 | 70代女性 |
|---|---|
| 主訴 | 「歯が抜けてしまった。できればインプラントで治療をしたい」とご相談いただきました。 |
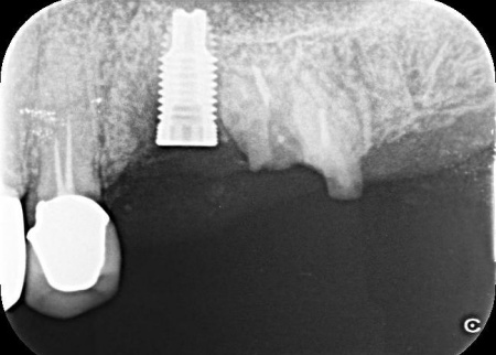
| 診断 | 拝見したところ、左上奥歯(第2小臼歯)1本が折れ、歯根だけの状態になっていました。 レントゲン撮影をして詳しく検査した結果、治療して温存することは困難な状態だったため、残っている歯根を抜き、欠損部分を補う治療が必要だと判断しました。 患者様は、人工歯根であるインプラントによる治療を希望されていましたが、レントゲン撮影の結果では、インプラントを入れるために必要な骨の量が足りていません。 以上のことから、まずは慎重に治療方法を検討する必要があると診断しました。 |
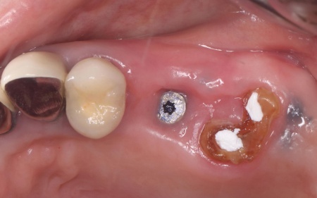
| 行ったご提案・治療内容 | 患者様には、折れた左上奥歯は温存ができず、歯根を抜く必要があることをお伝えしました。 そのうえで、希望されているインプラント治療を行うために必要な点を説明しています。 ・インプラント治療に必要な骨の量を確保するための「骨補填」を行う こちらに同意いただき、3ヶ月後からインプラント治療を始めることになりました。 まず、左上奥歯を抜きます。 3ヶ月後、顎の骨の状態が良好であることを確認し、インプラントを埋入する手術を実施しました。 |
| 治療期間 | 約8ヶ月 |
| 費用 | 約450,000円 | 治療のリスク | ・持病をお持ちの方や、服用中のお薬の種類によっては、外科処置ができない場合があります ・外科処置後のメンテナンスを怠ると、良好な結果が得られない可能性があります ・外科手術のため、術後に痛みや腫れ、違和感を伴います ・メンテナンスを怠ったり、喫煙したりすると、お口の中に大きな悪影響を及ぼし、インプラント周囲炎などにかかる可能性があります ・糖尿病、肝硬変、心臓病などの持病をお持ちの場合、インプラント治療ができない可能性があります ・自費診療(保険適用外治療)です |
治療前


治療中





治療後

