当院の患者様は治療後も予防や健康的な歯を維持するためメインテナンスに通われています。
当院の予防歯科についてご覧くださいませ。
| 患者 | 60代女性 |
|---|---|
| 主訴 | 「噛むと違和感があり、痛みもある」とご相談いただきました。 |
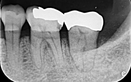
| 診断 | レントゲン撮影をして詳しく拝見したところ、左下奥歯に慢性歯根膜炎が認められました。 慢性歯根膜炎とは、歯の神経が通っている根管から歯根を覆う歯根膜が細菌感染して、炎症が起きる病気です。 このまま放置すると細菌感染がさらに進行し、歯根周囲の骨が破壊されて最終的には歯を失うおそれがあるため、早急に治療をする必要があると診断しました。 |
| 行ったご提案・治療内容 | 患者様は「この機会に完治させたい」と希望されたため、根管治療を施したあと、歯全体をすっぽりと覆う被せ物で噛み合わせを回復する治療方法を提案しました。
根管治療とは、細菌感染した神経を除去して根管を洗浄・消毒し、薬を詰める治療方法です。 また根管治療後の被せ物には、ジルコニアクラウンを選択しています。 メリット:自然な白さが再現できる。人工ダイヤモンドと呼ばれるほど高い強度と耐久性をもつため、奥歯のような強い力がかかる場所に適している まずは左下奥歯に根管治療を行い、MTAセメントを用いて根の先端まで隙間なく封鎖します。 後日、完成したジルコニアクラウンを装着し、歯にぴったりと合っているか、噛み合わせに問題がないかを十分に確認して、治療を終了しています。 |
| 治療期間 | 約1ヶ月 |
| 費用 | 約260,000円 (根管治療、上部構造) |
治療のリスク | ・まれに根管治療後も再治療、外科手術、抜歯などの処置が必要となる場合があります ・治療中まれに器具の破折、被せ物や詰め物など修復物の損傷、歯の破折が起こる場合があります ・治療中や治療後に不快症状が出たり、治療後に痛みや腫れなどが生じたりする可能性があります ・装着に際し、天然歯を削る場合があります ・硬い素材の場合、他の天然歯を傷つけることがあります ・一部の治療を除き、自費診療(保険適用外治療)です |
治療前


治療中

治療後

