当院の患者様は治療後も予防や健康的な歯を維持するためメインテナンスに通われています。
当院の予防歯科についてご覧くださいませ。
| 患者 | 50代男性 |
|---|---|
| 主訴 | 「歯が欠けてしまった」とご相談いただきました。 |
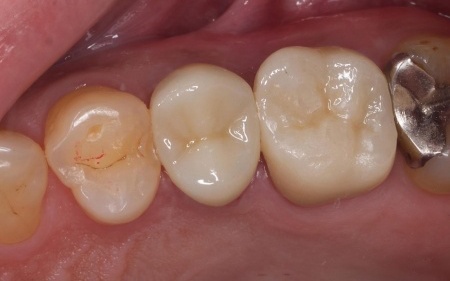
| 診断 | 拝見したところ、左上奥歯の被せ物が割れていました。 この歯には、3年前に当院で白い被せ物のCAD/CAM冠を装着していました。 CAD/CAM冠は、コンピューターで設計・製作されるレジン(プラスチック)ベースの被せ物です。 割れた部分をそのまま放置すると、欠けた隙間から細菌が侵入し虫歯が再発する可能性や、歯の土台に負担がかかって状態が悪化するおそれがあります。 以上のことから、新しく被せ物を作り直す治療が必要と診断しました。 |
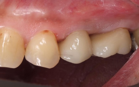
| 行ったご提案・治療内容 | 診断結果について丁寧にお伝えしたうえで、奥歯の新しい被せ物にはジルコニアクラウンを提案しました。
ジルコニアは人工ダイヤモンドと呼ばれるほど強度が高く、噛む力が強くかかる奥歯にも適した素材です。見た目も白く自然で、金属を使用しないため金属アレルギーの心配もありません。 患者様は今回のことを踏まえ「より強くて見た目も自然なものにしたい」と、ジルコニアクラウンでの治療に同意いただきました。 まず、破損したCAD/CAM冠を慎重に取り除きます。 次に精密な歯型を採取し、技工所にジルコニアクラウンの製作を依頼しました。 |
| 治療期間 | 約2週間 |
| 費用 | 約130,000円 (ジルコニアクラウン) |
治療のリスク | ・装着に際し、天然歯を削る場合があります ・硬い素材の場合、他の天然歯を傷つけることがあります ・噛み合わせや歯ぎしりが強い場合、セラミックが割れる可能性があります ・一部の治療を除き、自費診療(保険適用外治療)です |
治療前

治療中


治療後

