当院の患者様は治療後も予防や健康的な歯を維持するためメインテナンスに通われています。
当院の予防歯科についてご覧くださいませ。
| 患者 | 30代女性 |
|---|---|
| 主訴 | 「歯が欠けたので診てほしい」とご相談いただきました。 |
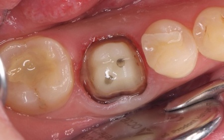
| 診断 | 拝見したところ、右下奥歯に装着されていた被せ物が、経年劣化による強度の低下で大きく破折していました。
このまま放置すると、奥歯でしっかり噛むことができないだけでなく、欠けた被せ物で舌が傷つくおそれがあります。 |
| 行ったご提案・治療内容 | 欠けた被せ物は10年以上前に治療した部位とのことで、材質はセラミックの一種であるポーセレンだと考えられます。 再び破折する危険性を考慮して、セラミックの中でも人工ダイヤモンドと呼ばれるほど高い強度をもつ「ジルコニア」での修復を提案し、同意いただきました。 メリット デメリット まずは右下奥歯の古い被せ物を除去し、歯の形を丁寧に整えます。 後日、完成した被せ物を装着し、見た目や噛み合わせに問題がないことを確認して、治療を終了しています。 |
| 治療期間 | 約2週間 |
| 費用 | 約130,000円 | 治療のリスク | ・装着に際し、天然歯を削る場合があります ・硬い素材の場合、他の天然歯を傷つけることがあります ・噛み合わせや歯ぎしりが強い場合、セラミックが割れる可能性があります ・一部の治療を除き、自費診療(保険適用外治療)です |
治療前

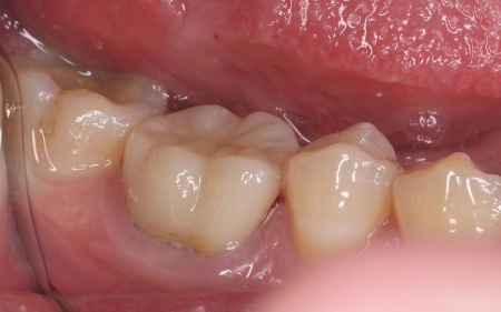
治療中

治療後

