当院の患者様は治療後も予防や健康的な歯を維持するためメインテナンスに通われています。
当院の予防歯科についてご覧くださいませ。
| 患者 | 60代男性 |
|---|---|
| 主訴 | 「歯が抜けているところをインプラントで治したい」とご相談いただきました。 |
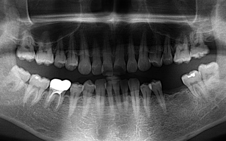
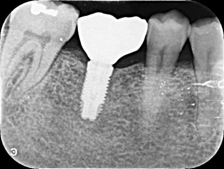
| 診断 | 拝見したところ、左下奥歯(第1大臼歯)が抜けており、見た目が気になるだけでなく奥歯でしっかりと噛むことが難しくなっていました。 このまま放置すると食事の際に支障が出たり、噛み合わせのバランスが崩れて残っているほかの歯に影響を及ぼしたりする可能性があります。 以上のことから、抜けた歯を補い見た目と噛む機能を回復させる治療が必要と診断しました。 |
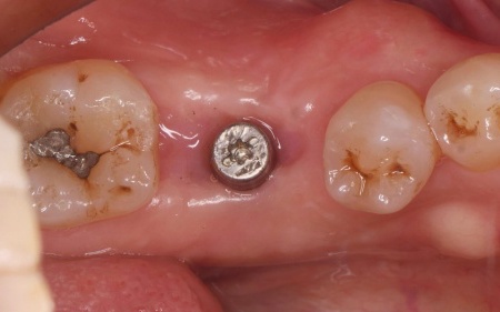
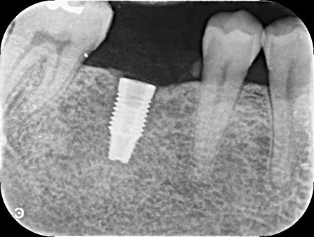
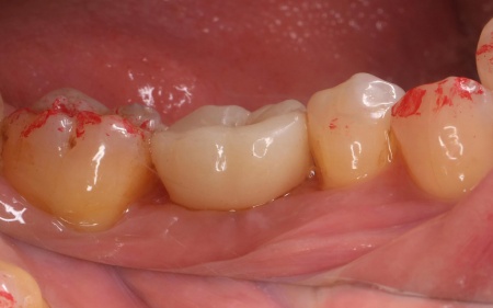
| 行ったご提案・治療内容 | 患者様はあごの骨に人工歯根を埋め、その上に人工歯を装着するインプラント治療を希望されています。 インプラント治療は自分の歯のような自然な見た目と噛み心地が期待できる一方で、自費診療のため費用が高くなることや外科処置を伴うため身体的負担がかかること、治療期間が比較的長くなる点がデメリットです。 また、安定したインプラント治療を行うためにはインプラントを支えられるあごの骨が残っているか、インプラントの上に人工歯を取り付けた際に噛み合わせの歯が邪魔をしないかなどを確認する必要があります。 その結果、十分な骨の量があり、噛み合わせの歯もインプラントを入れた際に自然に噛める位置に生えていたため、インプラント治療を行う条件は問題ないと判断しました。 【治療手順】 最後に見た目や噛み合わせに問題がないことを確認し、治療を終了しました。 |
| 治療期間 | 約4ヶ月 |
| 費用 | 約420,000円 | 治療のリスク | ・外科手術のため、術後に痛みや腫れ、違和感を伴います ・メンテナンスを怠ったり、喫煙したりすると、お口の中に大きな悪影響を及ぼし、インプラント周囲炎等にかかる可能性があります ・糖尿病、肝硬変、心臓病などの持病をお持ちの場合、インプラント治療ができない可能性があります ・高血圧、貧血・不整脈などの持病をお持ちの場合、インプラント治療後に治癒不全を招く可能性があります ・自費診療(保険適用外治療)です |
治療前


治療中



治療後


